Insólito: un hombre eyaculaba por el ano y ahora es un misterio médico

 

La literatura médica ahora ha sumado a su historia y estudios el caso de un hombre de 33 años que pasó más de dos años defecando y expulsando gases a través de su pene, mientras expulsaba semen y orina por su recto.

Se desconoce por qué el protagonista de esta historia tardó tanto tiempo en acudir a un especialista, pero lo cierto es que tras cinco días de dolor en los testículos tuvo que buscar ayuda médica y fue así como los doctores se dieron cuenta que llevaba dos años expulsando gases en la orina (pneumaturia), orinando materia fecal (fecaluria) y expulsando una “cantidad sustancial” de orina y semen por el recto.

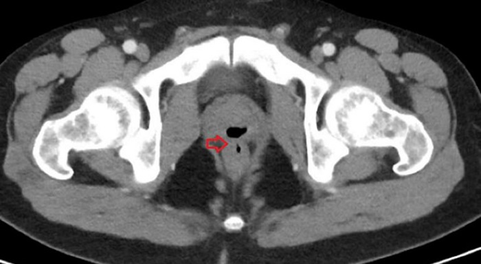
El caso fue tan extraño que aún no lo han identificado medicamente, pero sí apareció publicado en la revista Cureus, donde los médicos cuentan que el paciente tenía un testículo hinchado. Seguidamente, indican que realizaron exámenes posteriores los cuales mostraron signos de una infección del tracto urinario, mientras que un examen rectal digital mostró signos de un problema en la pared rectal. Finalmente, una tomografía computarizada produjo una visión mucho más clara del problema.

¿Un error médico?

Al parecer, este paciente tenía una fístula (un pasaje anormal) entre la uretra y el recto, a través de la cual habían estado pasando varios líquidos y sólidos.

Se pudo conocer que el sujeto dos años antes cuando apenas comenzaban los síntomas, había estado en coma tres semanas después de una intoxicación por cocaína y fenciclidina (PCP). Durante su estancia en el hospital se le colocó un catéter de Foley, durante el cual probablemente se causó la lesión.

Finalmente, los especialistas concluyeron que si bien los catéteres de Foley son importantes en el tratamiento y el manejo del paciente, los médicos deben conocer las complicaciones potenciales (y raras) que pueden resultar de su uso.

En el caso se puede leer la siguiente explicación: “Los médicos deben tener en cuenta otros riesgos potenciales como las lesiones uretrales. Este caso no solo destaca una complicación poco común del uso del catéter, sino que también enfatiza la importancia de la atención plena del proveedor cuando se utilizan terapias aparentemente benignas como los catéteres de Foley”.

El paciente de igual forma logró recuperarse por completo y los médico lograron además revertir el problema

Fabian S.
Fabian S.https://lgcba.com
CEO y fundador de LGCBA.com. Me interesa todo lo relacionado a recursos humanos, el turismo y el marketing digital. Soy Consultor de Social Media con experiencia en diversas plataformas de comunicación digital. Consultor / asesor en proyectos apuntados al segmento LGTTB

Ahora somos hinchas de San Lorenzo

Jalil Juan José Elías, nacido el 25 de abril de 1996 en Rosario, Argentina, es un futbolista profesional que se desempeña como mediocampista central....

Augusto, #teamsangre o #teamcarne?

 Augusto Baccanelli, un destacado modelo argentino, ha logrado combinar exitosamente su pasión por la moda y el deporte. Representado por Ceres Management, ha participado...

¿Deberías rasurarte las piernas? Ventajas y desventajas a considerar

 La depilación de las piernas ha sido tradicionalmente asociada con las mujeres; sin embargo, cada vez más hombres optan por eliminar el vello de...

DEJA UNA RESPUESTA

Por favor ingrese su comentario!
Por favor ingrese su nombre aquí